What is a Thyroid Goiter?
- Posted on: Nov 27 2012
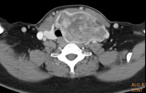
A thyroid goiter refers to an enlarged thyroid gland. The thyroid gland is a hormone gland, which is situated in the lower part of the neck. Similar to the shape of a butterfly or a bowtie, it has a left and a right side connected with a smaller central area. Generally, it should not be any larger than the size of the typical bowtie.
Occasionally, the thyroid may grow in size and give patients complications due to its size. This growth could be due to a single nodule within the thyroid, which could otherwise be suspicious for a growth. Alternatively, a multinodular goiter is more of a benign process that creates a large bulk of thyroid tissue within the neck. Certain families have more pre-disposition to thyroid goiters within their gene pools. Also, in some areas of the world, goiters are endemic where iodine is low in diet supplements.
A thyroid goiter may initially be more of a cosmetic concern due to large mass within the front of the neck. With the passage of time, the goiter may grow in size and subsequently give compressive symptoms to the windpipe (larynx and trachea) as well as the swallowing mechanisms (esophagus). These symptoms become more manifest when the patient is lying on their back and the large bulk of thyroid falls down with gravity, almost choking certain patients. Larger goiters can also intrinsically constrict the windpipe and give symptoms similar to asthma.
Once a goiter is discovered, we need to initially rule out any suspicion for a cancer within the goiter. This can be done with the help of ultrasounds and needle biopsies. Once the possibility of a cancer is ruled out, the treatment is then tailored to the patient’s individual medical profile.
Small goiters, when initially discovered, could be managed either with watchful waiting or with medicines aimed at suppressing active function of the thyroid gland. It is commonly thought that once goiters have passed a certain clinical mass, medical therapy is no longer successful. In these patients, surgical correction remains the only option.
The surgical treatment for goiters is total thyroidectomy for cases of symmetric growth in the left and right lobes, or a hemithyroidectomy for those patients with disproportionate growth in one lobe only. This is usually done in the operating room under general anesthesia, and the patient is then observed in the hospital overnight for safety.
Tagged with: compression, ear nose throat, ENT, goiter, Isaac Namdar, Isaac Namdar MD, multinodular goiter, neck mass, New York, new york city, nodule, Otolaryngology, Otorhinolaryngology, recurrent laryngeal nerve, thyroid, thyroid nodule, thyromegaly
